Ağız ve Diş Sağlığı
Ağız ve Diş Sağlığı
Diş ve ağız sağlığına pek çok yeniliği ülkemize getiren Uni-dent, diş hekimliğinde Ankara’da 3 ve İstanbul’da 32 yılı geride bırakmış, 35 yıllık bir kuruluştur. Tüm uygulama ve hizmetlerde, branşlarında uzman diş hekimleri hizmet vermektedir.
Diş ve ağız sağlığı, hemen hemen tüm insanlarda görülen ve yaşam boyu özen gösterilmesi gereken bir sağlık konusudur. Bu sebeple bu bölgedeki sorunlar, vücuttaki bazı hastalıkların habercileri olabileceği gibi, apse ve benzeri diş-diş eti iltihabi oluşumları da, vücudun pek çok yerinde başka hastalıklara neden olabilecek fokal enfeksiyon kaynakları olabilmektedir.
Ekte bilgiye sunulan işlemler; diş hekimliği fakülte disiplinlerinde mevcut yapı ve ciddiyetle, konunun uzman hekimlerince yürütülmektedir.
- Diş ve Ağız cerrahisi (Normal ve sorunlu diş çekimleri)
- İmplantoloji (Tedavi amaçlı kemik içine konulan destek yapılar),
- Diş eti tedavi-cerrahisi ‘Periodontoloji’ (Diş taşı ve ilintili sorunları)
- Ortognatik Cerrahi (Çene anamolileri, kaza sonucu oluşan sorunlar)
- Sabit ve Müteharrik Protezler,(Tedavi amaçlı ağız içi protezler)
- İmplant Protezleri, (İmplantlar üzerine yapılan özel protezler)
- Estetik Diş Hekimliği Çalışmaları, (Kişiye özgü protez sanatı)
- Çene-Yüz Protetiği, (Kaza, Doğumsal, Kanser sonrası protezleri)
- Göz Protezleri, (Kaza ve doğumsal göz kayıpları protetiği)
- Geriatrik Protezler (yaşlılık, özel ilgi-teknoloji gerektiren protezler)
- Konservatif Tedaviler, (Tüm ağızda estetik ve fonksiyonel dolgular)
- Endodonti Tedavileri, (Dişin kanalı ve kök ucu kist tedavileri)
- Pedodonti Tedavileri, (0-12 yaş gurubu çocuklarda tedaviler)
- Çocuk ve gelişkin Ortodontisi, (Diş Çapraşıklıkları Tedavileri)
- Dudak Damak Yarığı düzeltilmeleri, (Doğumsal Defektli Tedaviler)
- Ortognatik Cerrahi analiz ve uygulamaları, (Projeni-Prognati Ted.)
- Çene Eklemi analiz ve tedavileri, (Çene eklemi, diş gıcırdatma Ted.)
Uni-dent’de yukarıda tanımlanan tüm uygulamalar klasik anlamda “lokal anestezi” ile yapılabilirken, özel durumlar (Handikaplı hastalar, Diş Fobisi- Korkusu, Küçük Çocuk faktörü vs) gibi durumlarda, hastane ortamında “Sedasyon- Genel Anestezi” altında da uygulamalar yapılmaktadır.
Diş ve ağız bölgesi ile sağlığı, vücudun en hayati organları ile komşuluğu açısından son derece önemsenecek bir konudur. Burada ki bir lezyonun erken teşhisi, bazı önemli hastalıklarda hayat kurtarıcı rol oynayabilir. Buna ek oldukça masum seyreden bir diş ve dişeti kist ve kök ucu lezyonu, vücut geneli için bir fokal enfeksiyon kaynağı olabilir.
Bu nedenle çevrenizdeki bir hekime müracaatla basit bir panoğrafik röntgen tetkiki, bu sorunların görülebilmesini sağlar. Günümüzde “endodonti” yani kanal tedavileri ile çok başarılı sonuçlar alınabilmekte, dişler çekimden kurtarılır iken, oluşan ve vücut için zararlı bir enfeksiyon kaynağı olacak “kök ucu lezyonları”, konunun uzman hekimlerince çözüme ulaştırılabilmektedir.
Basit bir uygulama gibi görülen diş dolgusu, dişin hayatını uzatan ve ehil elle de yapılınca çok uzun seneler hizmet veren bir uygulamadır. Giderek yapımı azalan “amalgam dolguların” toksik etkiler oluşturduğu konusu yanlış bir bilgi olup, uzun yıllar ağızda duran ve fonksiyon gören başarılı amalgam dolgular vardır. Ancak, estetik amaçla bunların beyaz dolgularla değiştirilmesi de yapılabilinir.
Günümüz en son teknikle (ışınlı dolgu) olarak yapılsa bile, yıllar içinde ağız ortamında renk değişiklikleri olmakta, sekonder (ikincil) çürükler oluşabilmektedir. Bu durumlarda, alternatif protetik uygulamalar ile ideal estetik ve fonksiyon sağlanabilir. Çocuğun gelişimi sırasında, içme suları yapısındaki bazı mineral eksiklikleri, diş-kemik oluşumunu etkileyebilmekte, iler ki yıllarda diş mine-yüzeylerinde defektler ve koyu lekeler oluşabilmektedir. Bu estetik-görünüm bozukluğu, “aklaştırma” ile kısmen ancak “protetik uygulamalar”la tamamen tedavi edilebilmektedirler.
Doğum ile birlikte toplamı 20 olan süt dişleri sonrasında değişerek 32’ye ulaşmaktadır. Ancak çağımızda, iskeletsel olarak, çeneler giderek daralmakta ve süt dişleri sonrası gelen daimi dişler sıralanmasınde “çapraşıklıklar” oluşabilmektedir. Bu geçiş dönemlerinde anne-babalara sorumluluklar düşmektedir. Günümüzde “ortodonti” ile bu durum erken teşhis ve tedaviler ile belli bir zaman içinde kolaylıkla halledilebilmektedir. Ortodonti ihtiyacının, uzman hekimlerce yapılması ve uygulanması zorunludur. Yaşın ilerlemesi ile geç kalınmalarda sonuç alınması, daha zor ve zaman gerektirecektir.
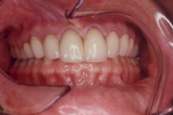
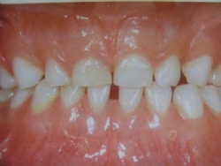
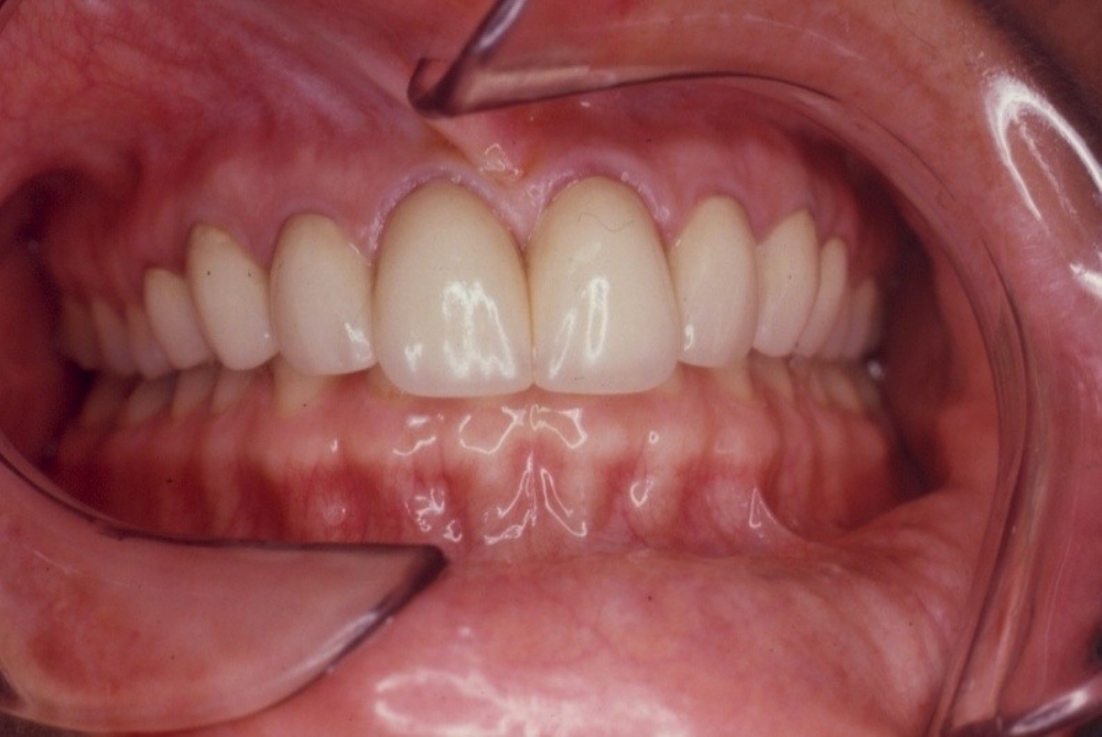
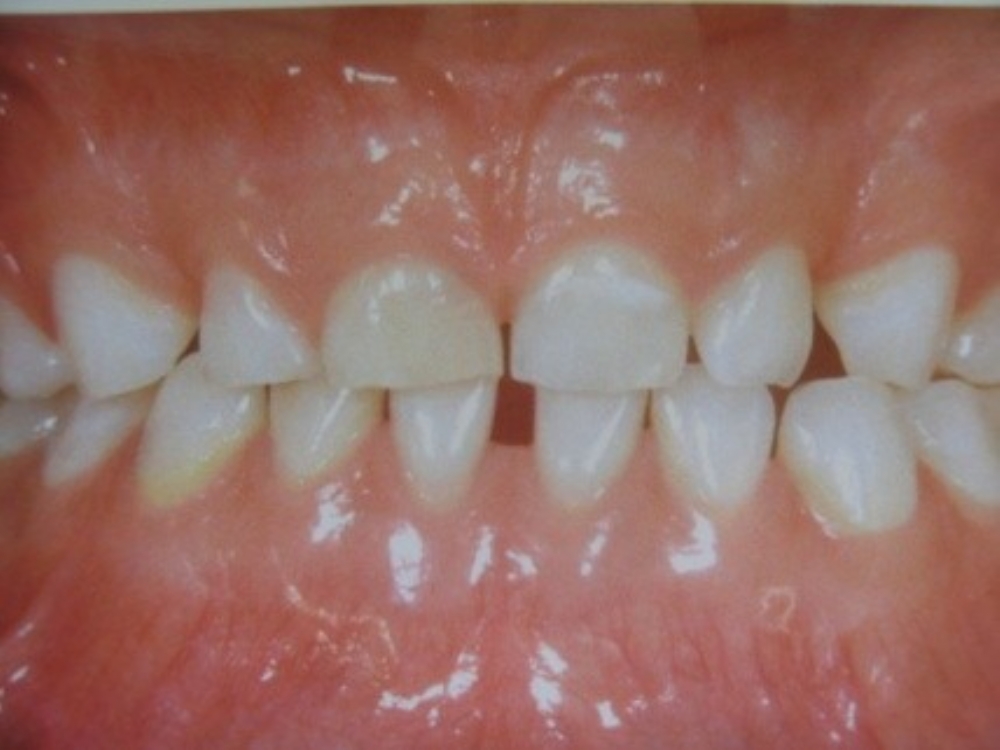
Gülümseme, pozitif düşünce ve sevginin bir ifadesi, parmak izimiz gibi kişiye özgüdür. Ön bölgede estetik oluşturulmasında, dişlerin düz dizilmeleri, yaşlı ve bedbin bir ifadeyi, oysa dudak eğrisi ile uyumlu bir gülümseme eğrisi, genç, dinamik ve pozitif ifadeyi beraberinde getirir. Hastalar, yüz ve gülümsemelerini beraberlerinde götürdüklerinden, ön bölge estetik protez yapımında ki en önemli bir diğer faktörde, porselen laboratuarı-teknikerin klinik bünyesinde olmasıdır.
Kadın-erkek, farklı estetik kurallar içeren diş yapı ve doğumsal özelliklere sahiptirler. Bu durum, protetik açıdan hekime, sorumluluklar yükler. Estetik çalışmaları, hekim gözetim ve denetiminde; hasta-hekim-teknisyen işbirliği ile yapılır, ise başarı sağlanırr. Ön dişlerin, hafifçe dudakları destekler şekilde ve önde ile ön 2 keser dişin diğerlerinden daha uzunca yapımı, dudakları daha dolgun, pozitif gülümsemeyi daha etkin kılar. Ancak bunda doğallık önemlidir. Ufak bir abartı da son derece çirkin bir başka sorunu beraberinde getirebilir. Günümüzde botoks ve benzeri dolgu maddeleri ile de bu işlemlerin yapıldığını görmekteyiz.
Ancak, dolgu maddeleri ile dudağa yapılan uygulamalar, belli sürelerde yenilenmesi gerekirken, diş ile estetik oluşturulması, uzun vadeli ve kalıcı olmaktadır. Diş hekimliğinde estetiğin, belli kuralları yanı sıra, her hastanın dudak-diş yapısı, makul istekleri, alt üst çene ilişkileri, hekim ve diş teknisyeninin bu konudaki tecrübeleri, yaratıcılıkları ile ilgili detaylı ve bilimsel bir çalışmadır. Bunda, estetik kadar, fonetik ve fonksiyon da önemlidir.
Estetik, yaşlılar için de önemlidir. Diş çekimleri ile birlikte, dudak diş desteğini kaybeder ve içe doğru çökmektedir. Bu durum, kurallara uyularak ve yapılacak total protezler le düzeltilir. Diş kayıplarında son 45 yıldır devreye giren ve implant olarak adlandırılan uygulamalar söz konusudur. Burada tek dişlik kayıplar olabildiği gibi, kısmi veya tüm diş kaybında da, implantlar başarıyla uygulanabilmektedirler.
Alt dişlerinin tümünü kaybeden kişiye, 10 dakika da yerleştirilecek 2-3 mini implant, ömür boyu bir mutluluk oluşturabilir. Bunun gibi, kısmi veya dişlerinin tamamını kaybetmiş kişilere de, anatomik yapısı uygunluğu oranında implantlar yapılmakta, yüz güldürücü sonuçlar alınmaktadır. Günümüzde diş hekimliği, diğer disiplinlerle işbirliği ederek, inanılmaz sonuçlar elde edebilmektedir.
Örneğin endokrin, plastik cerrahi ve diyetisyenlerin ortaklaşa yardımları ile kişiler adeta yeniden yaratılmakta ve yeni bir hayata başlamaktadırlar. Diş hekimliği, sadece estetik değil, moral, kişinin kendine güvenmesi, etrafına pozitif enerji yaymasına da imkân sağlayan, çok yönlü bir meslek konumundadır. Diş hekimliği uygulamalarına karşı korku, engellenemez bir şuur altı yapısına dönüşmektedir. Bunun yanı sıra bazı özel çocuk tedavileri, handikaplı hastalar veya iletişim zorluğu durumlarında, “inhalasyon anestezileri veya genel anestezilere baş vurulmaktadır. Bunun, hastane ortamında yapılması daha az risk oluşturur.



































